0850 711 75 36
info@aeroradmedikal.com
Adap Sk. No:17/A Pendik İstanbul
Geniş iç çaplı MRI



Yüksek homojenlik elde etmek için akıllı şimleme teknolojisi ile birlikte gelişmiş mıknatıs sistemini benimseyin.
· Büyük FOV, merkez dışı kaliteli görüntüler getiriyor.
· Çok çeşitli yağ doygunluğu görüntülemesi sağlar, FS dizisi tarama süresini kısaltır ve görüntü kalitesini artırır.

Girdap akımının durumuna dayalı gerçek zamanlı dengeleme, yağ bastırmayı iyileştirir, DWI görüntü yapaylıklarını azaltır ve B’nin görüntü kalitesini artırır0 SWI gibi girdap akımına duyarlı diziler
MR cihazının tüm veri toplama, gradient ve RF sistemleri tamamen dijitalleşmiş olup, optik fiber iletim teknolojisi ile entegre edilmiştir. Bu sayede sinyal kaybı minimize edilir, cihaz dış elektromanyetik girişimlerden izole edilir ve daha stabil, yüksek kaliteli görüntü iletimi sağlanır.
Geleneksel “Sense” teknolojisi ile AI destekli sıkıştırılmış sensör teknolojisi (Power Sense) birleştirilmiştir. Bu sayede tarama modları optimize edilir, MRI incelemelerinde hem hız hem de görüntü kalitesi önemli ölçüde artırılır.

Herhangi bir parçanın ve herhangi bir alanın 1 saniyede hızlı ve hassas bir şekilde shimmlenmesini tamamlayabilmek, manyetik alanın homojenliğini maksimum 0.002ppm’ye getirmek. Son derece hızlı kaydırma işlemi nedeniyle hareket artefaktından neredeyse etkilenmez.
Çok kanallı coil’ler, çok kanallı spektrometre ile bağımsız olarak eşleşir ve hızlı paralel veri toplama teknolojisi sayesinde görüntüleme hızını artırır.
Farklı coil’leri değiştirmeye gerek kalmadan geniş kapsamlı görüntüleme yapılabilir. Bu sayede inceleme süresi kısalır ve hasta konforu artar.

70 cm genişliğindeki gantry, daha fazla hastaya ferah ve rahat bir muayene deneyimi sunar.

Beyin ve sinir sistemi görüntülemelerinde üstün çözünürlük ve hassasiyet sunar

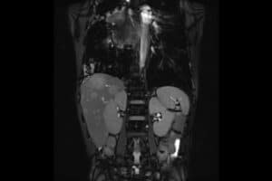
Geniş iç hacim sayesinde hastalar yatarak veya yan pozisyonda kolayca tarama yaptırabilir. Ayrıca, SAR değeri kontrol sistemi ve uniform RF alan optimizasyon teknolojisi ile karın görüntülemelerinde yüksek kalite ve güvenli sonuçlar elde edilir

Geniş alan, bilek, omuz veya dirseğin manyetizin merkezine daha yakın yerleştirilmesine olanak tanır ve böylece daha kaliteli görüntü elde edilir.

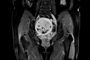
Omurga rahatsızlığı olan hastaların rahat bir pozisyonda yerleştirilmesine imkan tanır ve böylece yüksek kaliteli omurga görüntülemesi ile inceleme sorunsuz tamamlanır

İnceleme alanı genişletilmiş olup, hamileliğin orta ve ileri dönemlerindeki kadınların rahat bir pozisyonda ve sakin bir şekilde hızlı ve doğru fetal görüntüleme yapabilmesini sağlar; kardiyopulmoner fonksiyonları üzerinde baskı oluşturmaz.