
0850 711 75 36
info@aeroradmedikal.com
Adap Sk. No:17/A Pendik İstanbul
Sadece değişimle, yeniden doğuşu sağlayabiliriz

Wandong, yüksek verimli kriyojenik medya, ultra yüksek vakum, aşırı adyabatik teknoloji ve diğer ileri teknolojileri içeren FREE-cool kriyojenik iletim platformunun devrim niteliğindeki araştırma ve geliştirmesinden gelen kırılma ürünü – i_Vision 1.5T MRI Sistemini piyasaya sürdü, “helyum içermeyen” süper iletken MRI arzusunu gerçeğe dönüştürüyor. Magnet, artık içinde sıvı helyum gerektirmeden kararlı ve düzgün aşırı düşük sıcaklık ortamına ulaşır.

Sıvı helyum yok
Quench ve elektrik kesintisi korkusu yok
Güç duyu hızlı görüntüleme teknolojisi
Hızlı ve doğru edinim elde eder
i-Smooth sessiz teknolojisi
Her yönüyle sistem gürültüsünü azaltır
Akıllı güç jeneratörü / Otomatik alarm
Gerçek zamanlı izleme/Otomatik rampaing up (down)

Platform, son derece verimli kriyojenik ortam, vakum
adyabatik teknolojisi, soğutma iletim ağı tasarımı ve diğer
ileri teknolojileri bir araya getirerek tek bir damla sıvı
helyum kullanmadan stabil, homojen ve tutarlı bir
kriyojenik ortam oluşturur. Böylece “helyumsuz” devrimi
gerçekleştirilir ve manyetik rezonansın sıvı helyuma olan
bağımlılığı ortadan kaldırılır.
Geleneksel SENSE ve Compressed SENSE teknolojilerini entegre ederek, veri toplama modu hızlı görüntüleme için optimize edilmiştir. Bu sayede tarama hızı ve görüntü kalitesi artırılmıştır. Power Sense hızlandırma teknolojisi, kısa sürede yalnızca az sayıda örnekleme noktası toplayarak yüksek çözünürlüklü bir görüntü oluşturulmasını sağlar.

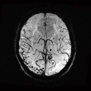
Beyin SWI, 4-8x hızlanma elde edebilen.
CSPI hızlandırma teknolojisi kullanılarak, nefes tutma sırasında karın (abdominal) bölgesinin yüksek hızlı ve yüksek çözünürlüklü görüntüleme sekansları tamamlanabilir.
i-Smooth teknolojisi, yüksek kaliteli görüntülemeyi korurken aynı zamanda daha iyi bir kullanıcı deneyimi sağlamak için sekanslar sırasında sistem gürültüsünü kapsamlı şekilde azaltmak amacıyla entegre edilmiştir.
Çok kanallı coil (bobin), çok kanallı spektrometre ile bağımsız olarak eşleşir ve hızlı paralel veri toplama teknolojisi sayesinde görüntüleme hızını artırır.

Hastayı yeniden konumlandırmaya gerek kalmadan çok bölgeli görüntüleme yapılmasını sağlayarak muayene süresini azaltır.
Özellikler:
Geniş kapsamlı birleşik görüntüleme
Serbest coil (bobin) kombinasyonu
Hastanın yeniden konumlandırılmasına gerek yok
Daha kısa inceleme süresi

Akıllı acil durum güç jeneratörü ile Maglinker bulut tabanlı bağlantı teknolojisini entegre ederek cihaz durumunun kontrol edilebilir olmasını sağlar.
Özellikler:
Beklenmeyen elektrik kesintilerinde sistemin çalışmasının sürdürülmesini sağlar
Manyet durumunda anormallik olduğunda otomatik alarm verir
Manyet durumunun gerçek zamanlı olarak sorgulanmasına imkân tanır
Acil durumlarda otomatik olarak ramp-down (manyetik alanın güvenli şekilde düşürülmesi) işlemini gerçekleştirir.